O estreitamento do canal vertebral pode ocorrer na coluna cervical, torácica e lombar, sendo mais comum na cervical e lombar; quando se dá na cervical, causa mais compressão medular, e, na lombar, visto que a medula espinhal acaba ao nível da primeira e segunda vértebras lombares, causa a compreensão das raízes nervosas.
O estreitamento pode ter diversas causas, tais como fragmento ósseo por uma fratura vertebral, tumores, hematomas e abscessos. Nosso tópico, aqui, refere-se somente quanto ao estreitamento devido ao processo degenerativo da coluna.

O processo degenerativo da coluna ocorre devido a alterações nos discos vertebrais, principalmente, um processo de desidratação do disco, que pode ter como causa desde herança genética até fatores externos, como excesso de peso, má postura, tabagismo e sedentarismo.
Com esse processo de degeneração, ocorre perda da altura discal e, de forma gradativa, mais carga é transferida para as articulações facetárias e leva a um processo de artrose e sinovite, com hipertrofia das facetas causando estenose foraminal.

A diminuição da altura discal também leva a uma frouxidão dos ligamentos ao redor das vértebras, causando movimentos anormais da vértebra e gerando instabilidade. Esse movimento das vértebras é conhecido como listeses.
Todo esse processo, junto, de abaulamento, protrusões ou herniações discais com hipertrofia das facetas articulares e espessamento dos ligamentos causa estenose do canal lombar.
Pacientes com estenose de canal sentem dor lombar devido à artrose das articulações da coluna, juntamente com o processo de degeneração discal.
Caso haja uma ESTENOSE FORAMINAL, a dor é mais radicular, ou seja, afeta mais um nervo específico, parecendo uma dor devido à hérnia de disco.

Estenose foraminal devido à hipertrofia facetária causando compressão do nervo.
Caso seja estenose central, o sintoma principal é conhecido como CLAUDICAÇÃO. NEUROGÊNICA é a sensação de dor e dormência dos membros inferiores ao andar, mas que melhora ao sentar e fletir o tronco para a frente, visto que esse movimento faz aumentar o canal vertebral, assim, melhorando um pouco a estenose.

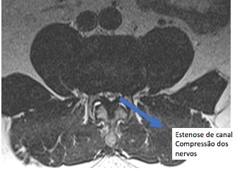
O exame padrão ouro para o diagnóstico da estenose de canal lombar é a ressonância magnética da coluna lombar.



Ressonância magnética com estenose de canal lombar em 2 níveis L3L4 L4L5
TRATAMENTO
O tratamento inicial é com medidas conservadoras como medicações, fisioterapia e infiltrações. Caso o paciente tenha uma estenose moderada a severa, que não obtenha melhora com as medidas conservadoras, o tratamento indicado é o cirúrgico, que consiste na descompressão das estruturas nervosas e, caso necessite, estabilização da coluna com cirurgia de artrodese, cirurgia que consiste em estabilizar, fixar a coluna e permitir a fusão óssea.